母国で行われたW杯を無念な形で終えたネイマールの痛々しい写真を、スペインメディアが伝えている。
Story: Neymar's World Cup is over after he is ruled out with a broken vertebra. » http://t.co/7pmGJgwm9T pic.twitter.com/oYpCR2bJ6A
— ESPN FC (@ESPNFC) 2014, 7月 5
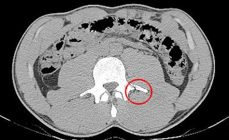
ネイマールが負傷したのは脊椎。身体を支える上で極めて重要な部位であり、負傷の箇所が仮に数cmズレていたら車椅子での生活を強いられていたという報道もある。その後の経過も順調のようで、先日は恋人であるブルーナ・マルケジーニさんと直立した状態で写真におさまっていた。
そんなネイマールの負傷の箇所がモロにわかる写真を、スペイン『SPORT』が独占で伝えている。
EXCLUSIVA SPORT: Las fotos de la lesión de espalda de Neymar no dejan dudas http://t.co/lf0ZaYwYbp pic.twitter.com/iaH2GYBtLD
— Diario SPORT (@sport) 2014, 7月 23
赤い丸で囲まれた部位が骨折したと思われる箇所だが、少し確認しづらいのでアップにしてみよう。
パックリ・・・これは痛い。
なお、ネイマールの負傷は全治3-4週間と言われており、それに従えば8月上旬に復帰することになる。
